Zrozumienie własnego cyklu menstruacyjnego to jeden z kluczowych elementów dbania o zdrowie kobiety, a w jego centrum leży owulacja. To właśnie ten moment decyduje o możliwości zajścia w ciążę, a jego świadoma obserwacja pozwala lepiej poznać swoje ciało i jego potrzeby. Jako Zuzanna Zając, chciałabym Cię dziś przeprowadzić przez tajniki jajeczkowania, abyś mogła z pełną świadomością śledzić sygnały, które wysyła Twój organizm.
Owulacja kluczowy moment cyklu, który decyduje o płodności i szansach na ciążę
- Owulacja to uwolnienie dojrzałej komórki jajowej z jajnika, niezbędne do zapłodnienia.
- Proces jest kontrolowany przez hormony, w tym gwałtowny wzrost hormonu luteinizującego (LH).
- Komórka jajowa jest zdolna do zapłodnienia przez 12-24 godziny, ale okno płodności trwa kilka dni.
- Typowe objawy to zmiana śluzu szyjkowego, ból owulacyjny i wzrost podstawowej temperatury ciała.
- Termin owulacji nie zawsze przypada na 14. dzień cyklu; jest indywidualny dla każdej kobiety.
- Brak owulacji może wskazywać na problemy hormonalne, takie jak PCOS, i wymaga konsultacji lekarskiej.
Jajeczkowanie bez tajemnic: Jak organizm przygotowuje się na szczyt płodności
Owulacja, czyli inaczej jajeczkowanie, to fascynujący i niezwykle precyzyjny proces, który stanowi serce każdego cyklu menstruacyjnego. W najprostszych słowach, jest to moment, w którym dojrzała komórka jajowa zostaje uwolniona z pęcherzyka Graafa małego woreczka wypełnionego płynem, znajdującego się w jajniku. Ta uwolniona komórka jajowa wyrusza w podróż do jajowodu, gdzie czeka na ewentualne zapłodnienie. Bez owulacji zajście w ciążę jest niemożliwe, dlatego tak ważne jest zrozumienie tego mechanizmu.
Rola hormonów, czyli kto tu rządzi? Poznaj dyrygentów Twojego cyklu (LH, FSH, estrogeny)
Cały proces owulacji jest misternie sterowany przez orkiestrę hormonów, które działają w idealnej harmonii. Na początku cyklu hormon folikulotropowy (FSH) stymuluje wzrost kilku pęcherzyków w jajnikach. W miarę ich dojrzewania, pęcherzyki produkują estrogeny, które z kolei sygnalizują organizmowi, że komórka jajowa jest gotowa. Gdy poziom estrogenów osiągnie odpowiednio wysoki pułap, następuje gwałtowny wzrost, czyli tak zwany pik hormonu luteinizującego (LH). To właśnie ten pik LH jest kluczowym sygnałem niczym zielone światło dla owulacji. Zazwyczaj następuje on około 24-36 godzin przed samym uwolnieniem komórki jajowej i to on powoduje ostateczne pęknięcie dominującego pęcherzyka.

Rozszyfruj sygnały ciała: jak rozpoznać, że owulacja nadchodzi?
Śluz jak białko jaja: Najważniejszy wskaźnik dni płodnych, którego nie możesz przeoczyć
Jednym z najbardziej wiarygodnych i łatwych do zaobserwowania sygnałów zbliżającej się owulacji jest zmiana śluzu szyjkowego. W dniach poprzedzających jajeczkowanie, pod wpływem rosnącego poziomu estrogenów, śluz staje się obfity, przezroczysty, śliski i bardzo rozciągliwy często porównywany jest do surowego białka jaja kurzego. To nie przypadek, że nazywamy go "śluzem płodnym". Jego specyficzna konsystencja tworzy idealne środowisko dla plemników: ułatwia im przetrwanie w kwaśnym środowisku pochwy, a także pomaga w poruszaniu się w kierunku jajowodu. Obserwacja śluzu to podstawa naturalnych metod planowania rodziny i w mojej opinii, każda kobieta powinna nauczyć się interpretować te sygnały.
Ból owulacyjny (Mittelschmerz): Dlaczego boli i co to dokładnie oznacza?
Około 40% kobiet doświadcza tak zwanego bólu owulacyjnego, znanego również jako Mittelschmerz (z niemieckiego „ból środka cyklu”). Jest to zazwyczaj kłujący lub tępy ból odczuwany w podbrzuszu, po jednej stronie tej, po której jajnik akurat przygotowuje się do uwolnienia komórki jajowej. Ból ten może trwać od kilku minut do nawet 48 godzin. Przyczyną może być rozciąganie torebki jajnika przez rosnący pęcherzyk tuż przed pęknięciem, a także podrażnienie otrzewnej (błony wyściełającej jamę brzuszną) przez niewielką ilość płynu i krwi, które uwalniają się po pęknięciu pęcherzyka. To zupełnie normalne zjawisko i nie ma powodu do niepokoju, o ile ból nie jest bardzo silny i nie towarzyszą mu inne niepokojące objawy.
Skok temperatury po przebudzeniu: Jak termometr może potwierdzić, że owulacja już za Tobą
Pomiar podstawowej temperatury ciała (BT) to kolejna cenna metoda śledzenia owulacji. Bezpośrednio po owulacji, pod wpływem progesteronu, temperatura ciała wzrasta o 0,2-0,5 stopnia Celsjusza. Ten podwyższony poziom utrzymuje się zazwyczaj do końca cyklu, aż do nadejścia miesiączki. Ważne jest, aby mierzyć temperaturę codziennie rano, zaraz po przebudzeniu, jeszcze przed wstaniem z łóżka, zawsze o tej samej porze i tym samym termometrem. Choć skok temperatury potwierdza, że owulacja już się odbyła, nie wskazuje on na to, że dopiero nadejdzie, co jest kluczowe w planowaniu ciąży.
Inne subtelne objawy, na które warto zwrócić uwagę: tkliwość piersi, wzrost libido i zmiany nastroju
- Tkliwość i obrzmienie piersi: Wiele kobiet zauważa, że ich piersi stają się bardziej wrażliwe i pełniejsze w okresie okołoowulacyjnym, co jest efektem zmian hormonalnych.
- Wzrost libido: Natura zadbała o to, abyśmy miały największą ochotę na zbliżenia właśnie wtedy, gdy szanse na poczęcie są największe. Wzrost libido w środku cyklu to częsty i naturalny objaw.
- Plamienie owulacyjne: Niewielkie, jasnoróżowe lub brązowe plamienie w okolicy owulacji jest spowodowane spadkiem estrogenów i pęknięciem pęcherzyka. Nie jest to powód do niepokoju, o ile jest skąpe i krótkotrwałe.
- Zmiany w położeniu i konsystencji szyjki macicy: W dniach płodnych szyjka macicy staje się miękka, lekko otwarta i uniesiona. To również sygnał, że organizm przygotowuje się na przyjęcie plemników.
Kalendarz płodności: kiedy dokładnie wypada owulacja i ile trwa Twoje okno na ciążę?
Mit 14. dnia cyklu: Dlaczego ta zasada nie działa u każdej kobiety?
To jeden z najczęściej powtarzanych mitów dotyczących cyklu menstruacyjnego. Z mojego doświadczenia wiem, że wiele kobiet błędnie zakłada, że owulacja zawsze wypada w 14. dniu cyklu. To uproszczenie, które może prowadzić do nieporozumień i frustracji w staraniach o dziecko. Zrozumienie indywidualnego rytmu jest kluczowe. Ta reguła dotyczy jedynie "książkowych" cykli 28-dniowych. Rzeczywistość jest taka, że długość cyklu i moment owulacji są bardzo indywidualne i mogą się różnić nawet u tej samej kobiety w różnych miesiącach.
Jak obliczyć termin owulacji dla Twojego cyklu? Prosta matematyka dla regularnych i nieregularnych miesiączek
Zamiast sztywno trzymać się 14. dnia, o wiele dokładniejszą metodą określania terminu owulacji jest odjęcie 13-15 dni od przewidywanej daty rozpoczęcia następnej miesiączki. Dlaczego? Ponieważ faza lutealna, czyli okres po owulacji do nadejścia miesiączki, ma względnie stałą długość zazwyczaj trwa od 12 do 16 dni. Jeśli masz cykl trwający 35 dni, owulacja może wystąpić około 21. dnia (35 - 14 = 21). Natomiast w cyklu 23-dniowym, owulacja może przypadać już około 9. dnia (23 - 14 = 9). Ta metoda jest bardziej elastyczna i pozwala lepiej dopasować się do Twojego unikalnego rytmu.
Ile naprawdę trwa owulacja? Różnica między życiem komórki jajowej a dniami płodnymi
Wiele osób myli sam proces owulacji z całym oknem płodności, a to błąd, który może utrudniać zajście w ciążę. Sam proces owulacji, czyli pęknięcie pęcherzyka i uwolnienie komórki jajowej, jest niezwykle krótki to zaledwie moment. Uwolniona komórka jajowa jest zdolna do zapłodnienia przez około 12-24 godziny, maksymalnie do 48 godzin. Jednak "okno płodności", czyli okres, w którym współżycie może prowadzić do ciąży, jest znacznie dłuższe. Obejmuje ono kilka dni przed owulacją (nawet do 5 dni) oraz sam dzień owulacji. Dlaczego? Ponieważ plemniki potrafią przetrwać w drogach rodnych kobiety nawet do 5 dni, czekając na uwolnienie komórki jajowej. To właśnie ta wiedza jest kluczowa dla par starających się o dziecko.

Pewność w dłoni: domowe i medyczne metody potwierdzania owulacji
Testy owulacyjne z apteki: Jak działają i kiedy warto po nie sięgnąć?
Domowe testy owulacyjne to popularne i łatwo dostępne narzędzia, które mogą być bardzo pomocne w identyfikacji dni płodnych. Działają one na zasadzie wykrywania w moczu piku hormonu luteinizującego (LH), który, jak już wspomniałam, poprzedza jajeczkowanie o około 24-36 godzin. Testy te są szczególnie przydatne dla kobiet, które mają nieregularne cykle lub chcą precyzyjniej określić moment owulacji. Pamiętaj, aby zawsze stosować się do instrukcji producenta, ponieważ sposób użycia i interpretacji wyników może się różnić.
Kalkulatory i aplikacje do śledzenia cyklu: Czy można im w pełni zaufać?
Kalkulatory owulacji i aplikacje do śledzenia cyklu to wygodne narzędzia, które zyskały ogromną popularność. Mogą być pomocne w ogólnym monitorowaniu cyklu, ale muszę zaznaczyć, że ich dokładność bywa ograniczona. Wiele z nich opiera się na uśrednionych danych lub wspomnianym już "micie 14. dnia", co może prowadzić do błędnych wniosków, zwłaszcza u kobiet z nieregularnymi cyklami. Uważam, że są one dobrym uzupełnieniem, ale nie powinny być jedynym źródłem informacji bez dodatkowej obserwacji sygnałów wysyłanych przez Twoje ciało.
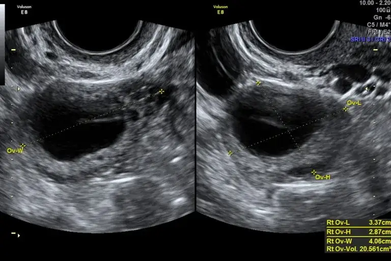
Monitoring u ginekologa (USG): Kiedy potrzebujesz 100% pewności?
W sytuacjach, gdy domowe metody okazują się niewystarczające lub gdy para ma problemy z zajściem w ciążę, najbardziej precyzyjną metodą potwierdzenia owulacji jest monitoring cyklu za pomocą badania USG u ginekologa. Lekarz może obserwować wzrost pęcherzyka dominującego, a następnie potwierdzić jego pęknięcie i uwolnienie komórki jajowej. Jest to metoda, która daje niemal 100% pewności i jest często zalecana w diagnostyce niepłodności oraz w trakcie leczenia wspomaganego rozrodu.
Owulacja i ciąża: jak świadomie planować powiększenie rodziny?
Kiedy szanse na zapłodnienie są największe? Planowanie współżycia w oknie płodności
Jeśli starasz się o dziecko, kluczowe jest zrozumienie, że największe szanse na zapłodnienie występują w tak zwanym oknie płodności. Obejmuje ono dni poprzedzające owulację oraz sam dzień owulacji. Dzięki temu, że plemniki mogą przetrwać w drogach rodnych kobiety nawet do 5 dni, współżycie na kilka dni przed owulacją również daje duże szanse na poczęcie. Dlatego tak ważne jest regularne współżycie w tym okresie, a nie tylko w dniu owulacji. Świadome planowanie zbliżeń w tych najbardziej płodnych dniach znacząco zwiększa szanse na sukces.
Znaczenie regularnej owulacji dla płodności kobiety
Regularna owulacja jest absolutnie kluczowa dla płodności kobiety. To ona gwarantuje, że co miesiąc do jajowodu trafia dojrzała komórka jajowa, gotowa do zapłodnienia. Bez regularnego jajeczkowania, szanse na zajście w ciążę są znacznie mniejsze lub zerowe. Dlatego wszelkie zaburzenia owulacji powinny być sygnałem do konsultacji z lekarzem.
Gdy owulacji brak: zrozumieć cykle bezowulacyjne i kiedy szukać pomocy
Czym jest cykl bezowulacyjny i czy zdarza się zdrowym kobietom?
Cykl bezowulacyjny to sytuacja, w której mimo wystąpienia miesiączki, nie dochodzi do uwolnienia komórki jajowej z jajnika. Oznacza to, że pęcherzyk nie pęka, a co za tym idzie zapłodnienie jest niemożliwe. Cykle bezowulacyjne mogą występować fizjologicznie u dojrzewających dziewcząt, u których cykl dopiero się reguluje, oraz w okresie premenopauzy, gdy jajniki stopniowo wygaszają swoją aktywność. Co więcej, sporadycznie (1-2 razy w roku) mogą zdarzyć się również zdrowym kobietom w wieku rozrodczym, na przykład w wyniku silnego stresu. Nie jest to od razu powód do paniki, ale jeśli powtarzają się częściej, warto zwrócić na to uwagę.
Najczęstsze przyczyny braku jajeczkowania: od stresu po problemy hormonalne (PCOS, tarczyca)
- Zespół policystycznych jajników (PCOS): To jedna z najczęstszych przyczyn przewlekłych cykli bezowulacyjnych, charakteryzująca się zaburzeniami hormonalnymi i obecnością wielu małych pęcherzyków w jajnikach.
- Zaburzenia pracy tarczycy: Zarówno niedoczynność, jak i nadczynność tarczycy mogą wpływać na równowagę hormonalną i prowadzić do problemów z owulacją.
- Hiperprolaktynemia: Zbyt wysoki poziom prolaktyny (hormonu odpowiedzialnego m.in. za laktację) może hamować owulację.
- Nadmierny stres: Silny i przewlekły stres może zakłócać pracę osi podwzgórze-przysadka-jajnik, prowadząc do braku jajeczkowania.
- Intensywny wysiłek fizyczny: U kobiet uprawiających wyczynowo sport lub trenujących bardzo intensywnie, owulacja może być zaburzona.
- Nieprawidłowa masa ciała: Zarówno niedowaga (zwłaszcza wynikająca z restrykcyjnych diet), jak i nadwaga czy otyłość mogą negatywnie wpływać na regularność owulacji.
Przeczytaj również: Menopauza: Ile trwa naprawdę? Etapy, objawy, ulga
Nieregularne cykle i brak objawów kiedy powinnaś skonsultować się z lekarzem?
Jeśli Twoje cykle są nieregularne bardzo krótkie (poniżej 21 dni), bardzo długie (powyżej 35 dni) lub występują rzadziej niż co 35 dni a także jeśli nie obserwujesz u siebie typowych objawów owulacyjnych, takich jak zmiana śluzu czy skok temperatury, to sygnał, że warto skonsultować się z lekarzem. Szczególnie jeśli starasz się o dziecko i przez dłuższy czas nie dochodzi do poczęcia, diagnostyka przyczyn braku owulacji jest kluczowa. Lekarz będzie mógł zlecić odpowiednie badania hormonalne i USG, aby zdiagnozować problem i zaproponować ewentualne leczenie.
